Workflow
急性心肌梗死
icon
Search documents
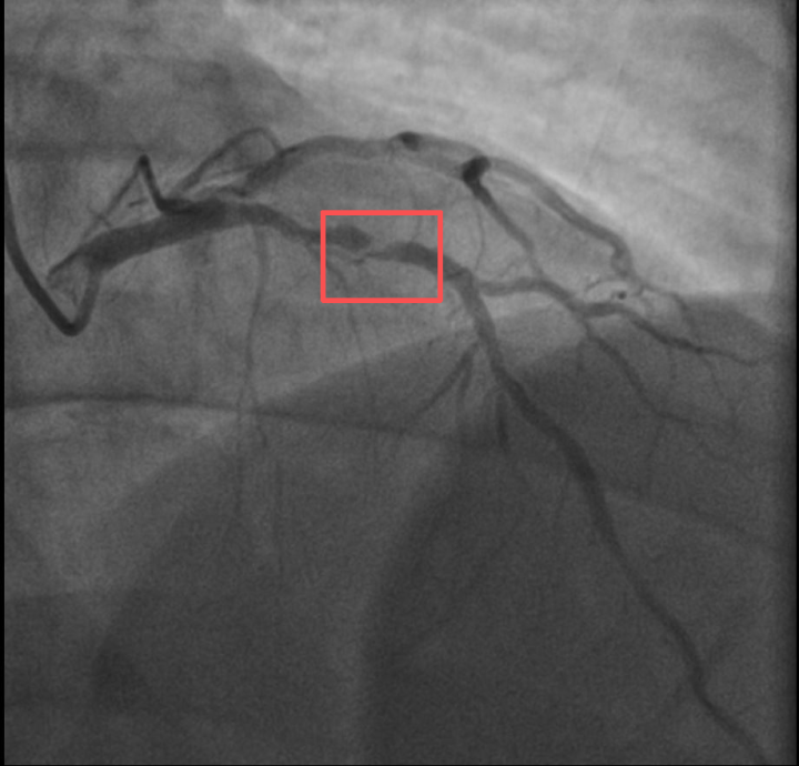
以为是肠胃炎,没想到竟是最凶险的急性心肌梗死!宁波男子拒绝治疗:“我要回老家过年!”医生急了……
Xin Lang Cai Jing· 2026-02-19 07:38
Core Viewpoint - The article highlights a critical case where a patient initially misdiagnosed with gastrointestinal issues was actually suffering from an acute myocardial infarction, emphasizing the importance of thorough medical evaluation and timely intervention [2][4]. Group 1: Patient Case Summary - The patient, referred to as Mr. Xing, experienced sudden abdominal pain and initially believed it to be a common gastrointestinal issue [2][3]. - Despite a normal electrocardiogram, the attending physician, Dr. Yang, suspected a potential acute myocardial infarction and recommended further testing, which confirmed elevated cardiac troponin levels indicative of a serious heart condition [3][4]. - The patient was initially resistant to hospitalization and treatment, wanting to return home, but was eventually persuaded by the medical team to stay for necessary care [4][5]. Group 2: Medical Intervention - The patient was diagnosed with acute non-ST elevation myocardial infarction after a rapid online consultation with the hospital's cardiology team [4][5]. - Upon arrival at the chest pain center, it was revealed that the patient had severe blockages in three coronary arteries, posing a significant risk of cardiac arrest [5][6]. - The medical team successfully performed a procedure to open the blocked arteries, restoring blood flow and saving the patient's life [6]. Group 3: Medical Insights - The article underscores that symptoms of heart attacks can be atypical, such as abdominal pain, which can lead to misdiagnosis as gastrointestinal issues [8]. - It stresses the need for healthcare professionals to develop the ability to recognize disguised symptoms of serious conditions and to maintain persistence and sincerity in patient care [8].
一天内两位38岁宝爸运动后倒下!医生紧急提醒
Xin Lang Cai Jing· 2026-01-11 03:47
Core Viewpoint - The article discusses two cases of acute myocardial infarction in 38-year-old men following intense physical activity, highlighting the risks associated with sudden strenuous exercise for individuals with underlying health issues [1][2][3]. Group 1: Case Studies - The first case involves a man who experienced severe chest pain after playing badminton for about 10 minutes, despite having lost weight and previously being diagnosed with significant coronary artery narrowing [1]. - The second case features a man who developed chest pain the day after hiking with his child, with a history of poorly controlled high blood sugar, leading to a confirmed heart attack [2]. Group 2: Mechanisms of Heart Attack Induction - Intense exercise can trigger myocardial infarction through three main mechanisms: plaque rupture, oxygen supply-demand imbalance, and coronary artery spasm [3]. - Plaque rupture occurs when increased heart rate and blood pressure during intense exercise cause unstable atherosclerotic plaques to break, leading to blood clot formation and artery blockage [3]. - Oxygen supply-demand imbalance arises when the heart's oxygen needs surge during strenuous activity, but blood flow cannot meet these demands due to existing arterial narrowing [3]. - Coronary artery spasm can be induced by sympathetic nervous system activation or electrolyte imbalances, leading to sudden blood flow interruption [3]. Group 3: Prevention Recommendations - Individuals at risk should undergo cardiovascular risk screening, including regular checks of blood lipids, blood sugar, blood pressure, and electrocardiograms [4]. - It is advised to assess cardiac tolerance before engaging in high-intensity exercise, especially for those who are sedentary or lack regular physical activity [4]. - A scientifically planned exercise regimen should follow a gradual increase in intensity, starting with low-intensity activities and avoiding sudden high-intensity workouts [5]. - Proper warm-up and cool-down routines are essential to prevent sudden stress on the heart and blood vessels during exercise [5]. - Individuals should avoid exercising in extreme weather conditions and refrain from high-intensity workouts when fatigued or unwell [5].
一天内,两位38岁宝爸带娃时倒下,送医抢救!
Xin Lang Cai Jing· 2026-01-10 15:25
Core Insights - Two 38-year-old fathers experienced acute myocardial infarction after engaging in vigorous physical activities, raising concerns about the risks associated with sudden intense exercise [1][5][12] Group 1: Case Studies - Mr. Sun, a badminton coach, suffered a heart attack after playing for about 10 minutes, despite having lost weight and previously being diagnosed with significant coronary artery issues [3][5] - Mr. Qian experienced chest pain the day after hiking with his child, leading to a diagnosis of myocardial infarction, exacerbated by his poorly controlled high blood sugar levels [5][7] Group 2: Medical Analysis - Doctors indicated that vigorous exercise can trigger heart attacks through mechanisms such as plaque rupture, oxygen supply-demand imbalance, and vascular spasm [9][10] - The presence of unstable atherosclerotic plaques in coronary arteries can lead to severe complications during intense physical exertion [9][12] Group 3: Recommendations for Prevention - Individuals with potential heart issues should undergo cardiovascular risk screening and assess their heart's tolerance to exercise before engaging in high-intensity workouts [12][13] - A gradual approach to increasing exercise intensity, proper warm-up and cool-down routines, and avoiding extreme conditions are essential for safe physical activity [13][14]
一天内,两位38岁宝爸运动后倒下!其中一位还是羽毛球教练!医生:大概率是这个原因
Xin Lang Cai Jing· 2026-01-09 23:50
Core Viewpoint - The article discusses the risks associated with sudden intense physical activity, particularly for individuals with underlying heart conditions, as illustrated by two cases of acute myocardial infarction in 38-year-old fathers after engaging in sports activities. Group 1: Incidents and Medical Analysis - Two 38-year-old fathers experienced acute myocardial infarction after engaging in intense physical activity, specifically playing badminton for about 10 minutes, leading to severe chest pain and hospitalization [1] - Medical experts indicate that intense exercise can lead to the rupture of unstable plaques in the heart, resulting in significant coronary artery blockage [1] Group 2: Risk Factors and Recommendations - Individuals with pre-existing heart conditions or risk factors should avoid sudden and intense exercise, as it can trigger acute myocardial infarction [6] - Recommendations for preventing exercise-induced heart issues include: 1. Conducting cardiovascular risk screenings annually, especially for those with a family history of heart disease or other risk factors [8] 2. Planning a gradual exercise regimen, starting with low-intensity activities and progressively increasing intensity [9] 3. Preparing adequately before and after exercise to avoid sudden stress on the heart [9]
中国心梗救治日:看懂心梗信号 掌握健康主动权
Ren Min Wang· 2025-11-20 07:00
Core Viewpoint - The incidence and mortality rates of acute myocardial infarction (AMI) are increasing annually in China, particularly during the autumn and winter seasons when cardiovascular diseases are more prevalent due to lower temperatures, which heighten the risk of heart attacks [1]. Group 1: Symptoms of Acute Myocardial Infarction - Typical symptoms include severe chest pain lasting more than 15 minutes, which does not improve with rest or nitroglycerin [6]. - Chest pressure sensation, described as feeling like a heavy weight on the chest, may persist for several minutes or recur [7]. - Atypical symptoms may include radiating pain to the left shoulder, arm, jaw, or teeth, with women more likely to experience these non-typical symptoms [8]. - Other symptoms can include dizziness, weakness, cold sweats, pale complexion, difficulty breathing, nausea, and vomiting [10][11]. Group 2: Emergency Response Measures - Immediate actions include stopping all activities, lying down, and loosening tight clothing to calm down and improve oxygen supply to the heart [14]. - It is crucial to call emergency services promptly and provide accurate information about the patient's condition and medical history [15]. - If chest pain persists and blood pressure is stable, sublingual nitroglycerin may be administered; otherwise, alternative medications should be considered [16]. Group 3: Risk Factors and Causes - Risk factors for AMI include age, smoking, diabetes, hypertension, and a family history of heart disease [25]. - Common triggers for heart attacks include physical exertion, emotional stress, and unhealthy dietary habits [25]. - Atherosclerotic plaque rupture and coronary artery spasm due to various stimuli can lead to acute myocardial infarction [19][20]. Group 4: Prevention and Lifestyle Adjustments - Dietary recommendations emphasize low saturated fat and cholesterol intake, with a focus on fresh vegetables and whole grains [27]. - Maintaining a positive mindset and engaging in regular physical activity can benefit heart health [28]. - Avoiding excessive strain, monitoring high-risk factors, and adhering to prescribed medication regimens are essential for prevention [30][31][33].
云海肴创始人赵晗突发心梗去世,年仅40岁
Sou Hu Cai Jing· 2025-09-19 07:18
Group 1 - Zhao Han, co-founder of the well-known restaurant chain Yunhaiyao, passed away due to a sudden heart attack at the age of 40 on September 18 [1][5] - The farewell ceremony for Zhao Han is scheduled for September 20 at 11 AM at the Kunming City Funeral Home [3] - Zhao Han was born in 1985 in Kunming, Yunnan, and co-founded the first Yunhaiyao restaurant in Beijing in 2009 with three partners, quickly establishing the brand as a leader in Yunnan cuisine [5] Group 2 - In February 2025, Zhao Han will no longer serve as chairman or hold other positions in the board of Yunhaiyao, with Zhu Haiqin taking over as chairman and CEO [5] - The company has expanded to include another brand, "Dao Xiaoman," and has rapidly developed into a leading chain for Yunnan cuisine [5]
专家:心梗症状不可忽视 需熟记两个“120”
Zhong Guo Xin Wen Wang· 2025-05-07 01:12
Core Viewpoint - The incidence of acute myocardial infarction (AMI) is increasing among individuals under 45 years old, with various risk factors contributing to this trend, emphasizing the importance of early detection and treatment [1][3]. Group 1: Symptoms and Case Study - Typical symptoms of AMI include severe squeezing pain in the chest, which may radiate to the left arm, jaw, neck, back, or shoulder, often accompanied by nausea, vomiting, sweating, or difficulty breathing [1]. - A case study of a patient, Mr. Zhang, illustrates the dangers of ignoring symptoms; despite experiencing chest pain and arm numbness, he delayed seeking treatment until he suffered a heart attack [2]. Group 2: Importance of Early Treatment - Early treatment is crucial for AMI patients, with a critical time frame of 120 minutes from the onset of symptoms to restore blood flow and reduce mortality and disability rates [2]. - The medical team performed emergency procedures including thrombectomy, balloon dilation, and stent placement to restore blood flow in Mr. Zhang's case [2]. Group 3: Risk Factors and Prevention - Key risk factors for AMI include age, hypertension, hyperlipidemia, diabetes, and obesity, while lifestyle factors such as irregular schedules, excessive fatigue, sedentary behavior, smoking, and alcohol consumption contribute to the rising incidence among younger populations [3]. - Self-rescue measures for suspected AMI include calling emergency services, resting in a position that allows for easy access for responders, and taking sublingual nitroglycerin to alleviate symptoms [3].